USLUGE

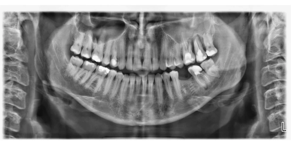
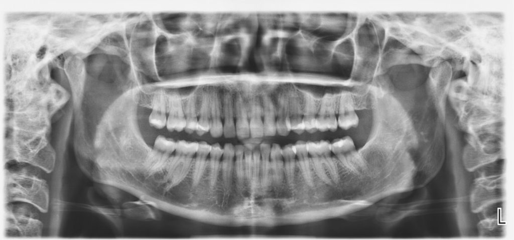
Digitalni ortopan

Panoramski 2D snimak kompletne gornje i donje vilice sa svim zubima i okolnim koštanim strukturama, temporomandibularnih zglobova i maksilarnih sinusa. Na ovom snimku se mogu videti i korenovi zuba, njihov položaj kao i zubi koji jos uvek nisu iznikli.  Izuzetno je važan u savremenoj dentalnoj dijagnostici i predstavlja zlatni standard za planiranje  lečenja i terapije.

Simanje zuba na digitalnom  ortopan aparatu  poslednje generacije traje kraće nego na klasičnim analognim aparatima, što samo snimanje čini udobnijim i komfornijim za pacijenta.  Snimci načinjeni na digitalnom aparatu su  mnogo boljeg kvaliteta i rezolucije a doza zračenja za samog pacijenta je višestruko  niža. Savremeni softver poslednje generacije nam daje mnogo mogućnosti i alata u obradi i dobijanju najboljeg mogućeg  snimka za svakog pacijenta ponaosob.

Svi snimci dobijeni u digitalnom formatu se mogu odštampati na film foliji, narezati na CD-u  ili poslati na e-mail ili viber.

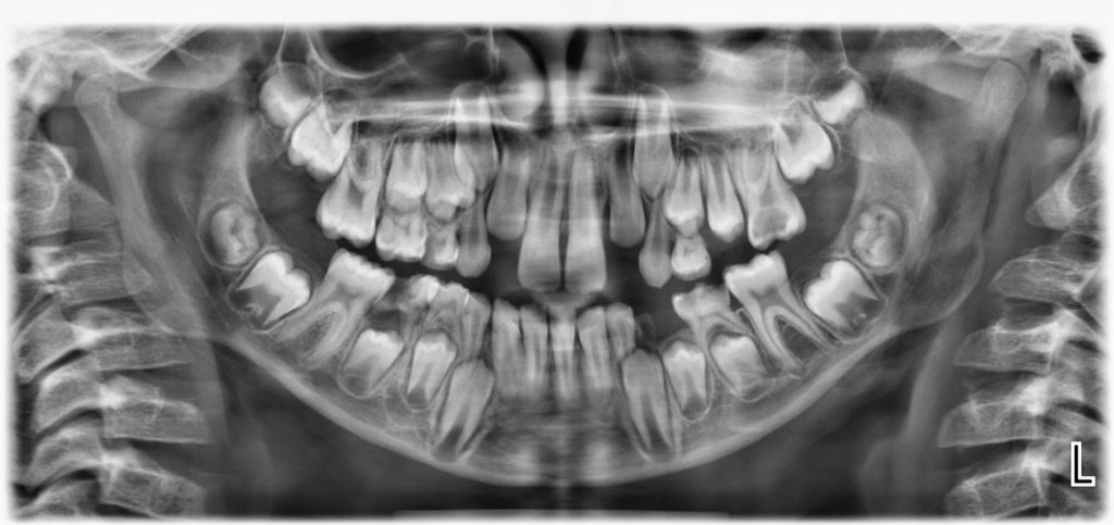
Dečiji digitalni ortopan

Detaljan prikaz obe vilice sa svim zubima, kao i sa zubima koji još uvek nisu iznikli.

Razlika u odnosu na snimanje odraslih pacijenata je u tome što se najmladji pacijenti  snimaju po posebnom programu i protokolu koji podrazumeva:

  • Kompjuterski redukovanu dozu zračenja
  • Manje zračno polje
  • Kraće vreme ekspozicije
  • Posebnu dečiju zaštitnu olovnu kecelju.

Upotrebom ovih protokola doza zračenja se dodatno smanjuje i do 40 % u odnosu na odrasle pacijente, uz dobijanje standardno kvalitetnog snimka.

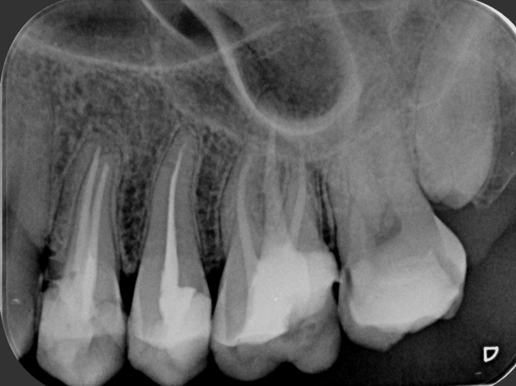
Dentalni radiogram

Retroalveolarni ili “mali” snimak je najčešći tip snimanja zuba i predstavlja ciljani snimak jednog, dva ili tri susedna zuba. Pruža precizne i detaljne informacije o stanju celog zuba:  krunice, njegovog korena i okolnih struktura. Decenijama je nezamenljiv u dentalnoj dijagnostici.

Prednosti digitalnog snimanja u odnosu na tradicionalno:

  • Višestruko niža doza zračenja za pacijenta
  • Softverska obrada snimka daje bolju rezoluciju i kvalitetniji snimak
  • Snimak se u digitalnom formatu može slati na e-mail i viber, narezati na CD ili odštampati na film foliji.

Telerendgen – Cefalogram

Profilni snimak kompletne vilice, zuba i okolnih koštanih i mekotkivnih struktura. Najčešće se koristi u ortodonciji pri planiranju izrade fiksnog ili mobilnog ortodontskog aparata. Uz pomoc ovog snimka ortodonti vrše cefalometrijska merenja i analize koji su od ključne važnosti za precizno postavljanje dijagnoze i planiranje terapije. Kontrolni Cefalogrami se vrlo često rade i u toku i na kraju terapije. Savremena ortodoncija je gotovo nezamisliva bez ovog snimka.

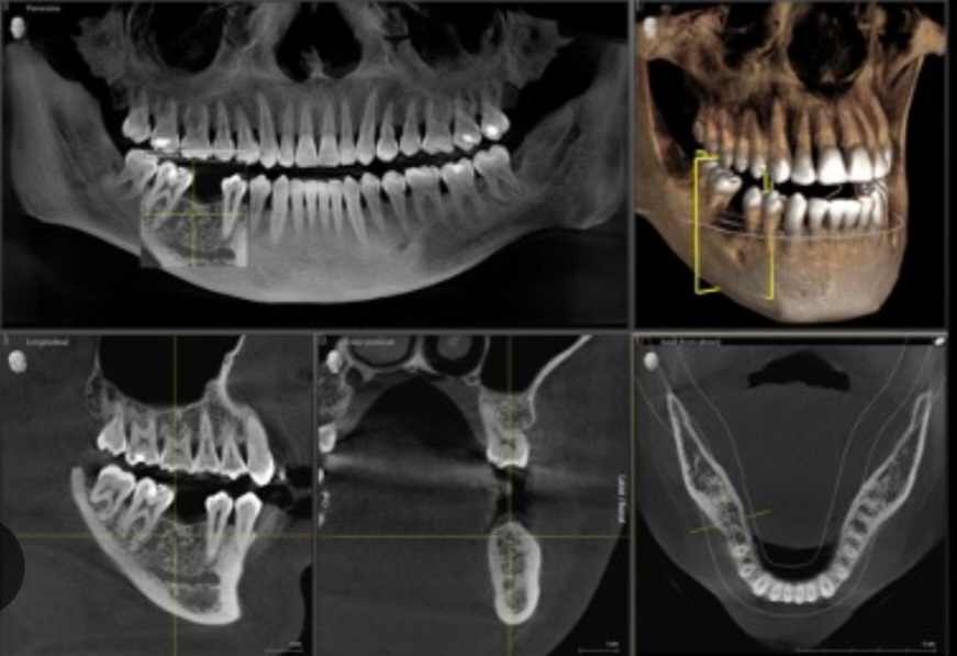
3D snimanje – CBCT ( Cone Beam Computerised Tomography)

CBCT snimanje predstavlja najsavremeniju dentalnu dijagnostičku metodu. Savremenim 3D – CBCT aparatima dobijamo rendgenske snimke izuzetne preciznosti i oštrine u sve 3 ravni projekcije. Pametni softveri nam omogućuju da te snimke dalje obradjujemo, merimo, analiziramo, pravimo planove i projekte koji su često od presudnog dijagnostičkog i terapijskog značaja.

Samo jednim 3D snimkom lako možemo dobiti detaljne prikaze kompletne vilice, zuba, viličnih zglobova, maksilarnih sinusa i svih ostalih okolnih koštanih struktura. CBCT snimci se najčešće koriste u oralnoj i maksilofacijalnoj hirurgiji, implantologiji, endodonciji, ortodonciji, a sve češće i u drugim granama stomatologije i medicine.

Najveća prednost CBCT-a je što se samo jednim snimanjem dobija ogroman broj visokokvalitetnih snimaka koji su u dijagnostičkom smislu neprocenljivi. Zbog svih benefita koje ima, 3D snimanje je postalo izuzetno moćno i dominantno dijagnostičko sredstvo. Svugde u svetu, pa tako i kod nas, moderna stomatologija se više ne može zamisliti bez 3D – CBCT snimanja.

Snimanje se ne zakazuje
Obezbedjen parking